(Boston Globe/Boston.com 7/26/2010)
If you know a cook, you know they are geeks, obsessed with their seasoned iron skillets and homemade salad dressings, their torches and cocktail recipes.
(Boston Globe/Boston.com 8/2/2010)
If we are to believe transhumanists, people who bill themselves as champions of superlongevity and artificial human enhancement, 2045 should be a very good year.
(Boston Globe/Boston.com 9/7/2009)
If H1N1 fears are keeping you out of circulation, you can still show everyone that your fading summer tan is no spray-on job.
A new HD webcam, the Hercules Dualpix HD720p (www.hercules.com) delivers a picture rivaling the one you have to pay your cable company extra to get.
(The Boston Globe 1/30/2006)
I don't miss my mother's Irish cooking one bit, but I do wish I could join her in her kitchen more often. That need to feel closer to our folks is driving the consulting firm Accenture to develop a system that makes those human connections via broadband data connections.
(Wired News 12/8/2005)
BOSTON -- It's been 10 years since Alex "Sandy" Pentland's graduate students began strolling around the MIT campus looking like cyborgs, straining under the weight of bulky "wearable" computers and heavy-duty eyeglasses with built-in displays.
(Boston.com/Globe 3/8/2010)
At MIT's GAMBIT lab, researchers, a collaboration of artists, historians, writing instructors, and educators, are breaking away from gaming conventions.
(The Village Voice 7/26/2004)
Some 40 volunteers from the Boston Area Liberation Medic (or BALM) Squad will be on hand to treat any wounded. "If you fail to turn your head away in time, and that rubber bullet or beanbag hits you in the temple or the throat, it can be lethal," said Sandy McKinley, an EMT and BALM medic.
(Wired News 7/30/2004)
A group of progressive media activists covering the Democratic National Convention in Boston plans to launch a new television network to counter the conservative news coverage they see on Fox News and CNN.
The group includes one of the producers of the Clinton documentary, The Hunting of the President, and the author of a book about corporate influence on politics, The Best Democracy Money Can Buy: The Truth About Corporate Cons, Globalization and High-Finance Fraudsters. Also on board are a veteran record producer, multimedia producers for the Democratic Party's website, leftist bloggers and the former head of the Dean Media Team Network, which produced online ads for the Howard Dean presidential campaign.
(The Village Voice 8/17/2004)
The FBI Joint Terrorism Task Forces, rather than routing out terrorist networks, have spent much of the summer picking on college kids heading to the Republican Nation Convention.
Police detectives and FBI agents in at least five states have been calling on young activists at their homes, trying to frighten them into canceling their plans to protest, said those who have been questioned.
(Boston Globe/Boston.com 12/15/2008)
I've still got the tribbles I bought at the Federation Trading Post in Manhattan back in the 1970s. Their white fur has faded, however, and they never make a sound.
Your Trekkie might appreciate the born-to-be stocking stuffers at ThinkGeek.com.
(Wired News 6/6/2006)
CAMBRIDGE, Mass. -- Katherine Albrecht is on a mission from God.
The influential consumer advocate has written a new book warning her fellow Christians that radio frequency identification may evolve to become the "mark of the beast."
(Grist magazine 6/13/2006)
<b>Could a wind-energy art exhibit shape public opinion?</b>
<br>
British artist Mark Beesley paints the emblems of wind power -- a form of energy he supports -- towering over grazing farm animals and casting long shadows over cultivated land.
(The Boston Globe 6/12/2006)
As a bored teenager, I endured hours on the train each weekend so I could hang out with godless New Yorkers in Washington Square Park. Now a PC game based on the "Left Behind" novels has those nonbelievers getting their comeuppance at the hands of righteous Christians.
(The Boston Globe 6/3/2006)
Summer internships are where college kids get their first taste of the workplace: the grunt work, the endless meetings, the office gossip, and the tired jokes -- all of which can come without a salary or benefits.
But Diego A. Melani's new internship is shaping up to be something quite different. While many of his peers will find themselves replacing toner cartridges and fetching dry cleaning for the office diva, the Massachusetts Institute of Technology senior will design part of a spaceship.
Melani is one of more than 30 interns in the Mars Gravity Biosatellite Program at MIT. It has a peculiar mission: to send 15 mice inside a tiny satellite into Earth's orbit for five weeks, perhaps as early as 2010.
(Boston Magazine 1/31/2008)
After a glass (or four) of cabernet, how often have you wanted to spin an LP of “Autumn in New York” or “Smoke on the Water” to hear the snap, crackle, and pop of the original vinyl?
The Pro-Ject Debut III, a sleek, manual turntable that looks at home in the modern abode
(Diverse magazine 6/13/2006)
CAMBRIDGE, Mass. -- Dr. Glenn C. Loury is losing sleep over the achievement gap between Blacks and Whites in public schools. But it's not merely low test scores in the nation's elementary and middle schools that disturbs him.
(Boston.com/Boston Globe 4/26/2009)
Untravel Media (www.untravelmedia.com/), makes podcasts with Arlington-based Spy Pond Productions: to bring a city's landmarks to life with rich, historical anecdotes.
(Wired News 3/31/2006)
California researchers say a blood-cleaning machine could save lives if bird flu becomes a pandemic. Fighting viruses by cleansing the blood might sound too good to be true, and many infectious disease experts say it is.
(Boston Globe/Boston.com 11/10/2008)
You don't need a plane, train, or automobile to attend a board meeting in the metaverse.
Instead, you can send a digital surrogate - wearing a Star Fleet uniform, if you like - to a conference in Second Life.
(Boston.com/Boston Globe 2/1/2010)
Shields up, people! Star Trek Online, the massive multiplayer online (or MMO) game from Cryptic Studios Inc., is scheduled for release tomorrow.
(Boston.com/Boston Globe 5/4/2009)
The same technological advances that are making personal computers smaller and phones more energy-efficient are turning gadgets that use radio frequency identification, or RFID, into appealing targets for hackers.
(Boston.com/Boston Globe 5/25/2009)
Proponents of "aging in place" are hoping for: that the old-old, those with one foot in the nursing home and the other on a banana peel, will gladly exchange their privacy for the chance to remain at home, where they can enjoy a better life.
(Boston Globe/Boston.com 2/9/2009)
Two new OLED devices are cheaper than you might expect, however, given that they come with OLED screens and other high-end features designed to rival those on Apple's iPhone and T-Mobile's G1.
(Information Security magazine 1/30/2007)
Security experts continue to demonstrate with alarming regularity how easy it is to hack RFID-enabled credit cards and e-passports.
Kevin Ashton is calling for a new standard from EPCglobal, the EPC standards body, to secure RFID tags on shipping containers, palettes and individual store items.
(Note: Full copy available upon request.)
(Boston Globe 11/26/2007)
This holiday geek-giving season is proving to be my most challenging one yet. Prices for the best toys are high, and the availability for some of them is iffy.
So I'm taking a bit of a different path, into the growing landscape of parent-child engineering projects and iPhone alternatives...
(Wired News 7/27/2004)
BOSTON -- The estimated 5,000 protesters at the Democratic National Convention this week have so far bumped heads over their political differences. In some cases, they have even barred one another from their scheduled (and permitted) events.
But activists have been largely united in one civil action: their boycott of the so-called free-speech zone carved out by the U.S. Secret Service and local authorities, the only spot where protesters will be able to shout their messages to the delegates arriving on buses in a nearby parking lot.
(Baard.com: Reports from the Future 3/19/2006)
One of Spock’s first tunics (from Star Trek: The Original Series) is up for auction. I have no doubt this is an authentic item. I interviewed the ST-TOS creators who hired Profiles in History to sell these items for them in 2002.
(Information Security magazine 6/26/2007)
As security experts demonstrate with alarming regularity how easy it is to hack RFID-enabled credit cards and e-passports, Ashton is calling for a new standard from EPCglobal, the EPC standards body, to secure RFID tags on shipping containers, palettes and individual store items.
(The Boston Globe 12/11/2006)
Let someone else supply the savings bonds and sweaters this holiday season. You’ll be the hero with your gifts of new robots, arfid blockers, video games, and other tech nonessentials. Here’s Globe Personal Tech columnist Mark Baard’s personal wish list.
(Boston Globe 6/26/2007)
One of several videos I shot this year for the Boston Globe, in which I discuss new technologies and their potential impacts on our privacy and our pocketbooks.
(The Boston Globe 3/19/2007)
The Nokia 5300 XpressMusic Phone, available through T-Mobile (about $100, after discount and rebate, and with a contract), is a cute, lightweight slider with rubberized music control buttons and a blue-backlit keypad that slides beneath the display.
(Wired News 11/1/2005)
LEWISTON, Maine -- As a cryptozoologist, Loren Coleman rarely gets to play the straight man at meetings with his fellow scientists.
But at a weekend symposium called Cryptozoology: Out of Time Place Scale at the Bates College Museum of Art here in Maine, Coleman says he feels quite normal.
(The Boston Globe 7/24/2006)
Retailers are planning to turn our blue jeans into tracking beacons by replacing bar - code labels with radio frequency identification tags stitched into the garments, according to some Biblical literalists.
(Boston Globe 8/18/2008)
If you've ever thought you could design a better Troll or toaster (move over, Michael Graves), here's your chance to prove it.
Shapeways.com is a new, low-cost 3D printing service that will turn your idea into a polycarbonate or acrylic objet in 10 business days.
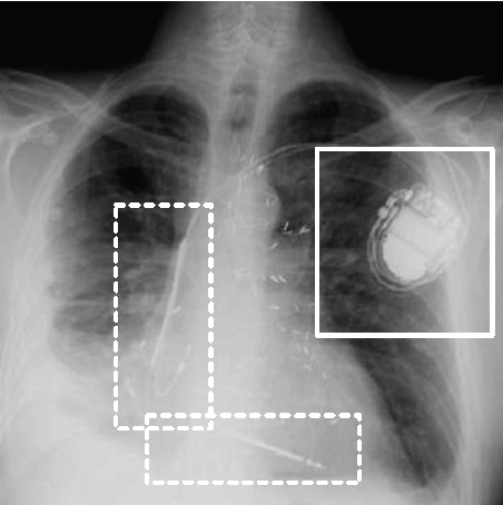
(Twin Cities Public Television/Next Avenue 6/12/2012)
Thanks to innovations implants are turning up in the bodies of more Americans over 40. Defibrillator-like devices from Medtronic Inc., for example, which deliver electrical impulses, can improve bladder function and help manage chronic pain.
(Boston Globe 7/14/2008)
Whenever my mom and her boyfriend visit, they leave behind a pile of screeching dolls with flapping wings and trucks that play repetitive tunes no amount of Scotch can wash from memory.
(Boston Globe/Boston.com 12/27/2010)
Our knees and hips are not the only parts to fail as we age. Our brains can wear out, too. That is why I am hopeful about the hand-held gadgets and apps that will remind us to water our plants, shut off our stoves, and guide us home when we get lost in our planned communities.
(Boston Globe/Boston.com 2/16/2009)
The idea: a bring-your-own bike lane, fashioned by lasers pointed at the asphalt beside your bike that extend up to 10 feet behind you.
(Boston Globe 7/21/2008)
Imagine sailing above the Bourne Bridge on your way to the beach, while consuming less gas than those SUV-driving suckers stuck beneath you in traffic.
(The Boston Globe/Boston.com 8/24/2009)
Marketers dream of the day when they can tack moving pictures onto cereal boxes and wheat-paste ads inside bus shelters and the alleys between big city bars and nightclubs.
(The Boston Globe 2/5/2007)
Alarm.com has unveiled a wireless system that tells you if the older folks in your family are breaking their routine -- a sign that they may need help.
Family members can look on the Web to see when sensors in their elders' homes were activated, and receive alerts on their cellphones and PDAs.
(Boston Globe 6/16/2008)
Computers are fast becoming tools for the "new literacy," which is more about playing video games than about reading and writing. It's a term the novelist Robert Coover (who wrote the Times essay, in 1992, "The End of Books") suggested to me a few years ago.
(Boston Globe 6/9/2008)
The UMass Memorial Medical Center is striking: Its high-rise hospital building, helipad, and sprawling medical school campus tower over Worcester's Lake Quinsigamond. It's a monument to Massachusetts' role as a healthcare leader and symbolizes an industry known for its miracle-making - and its out-of-control costs.
But behind UMass Memorial's bricks and mortar, an effort is underway to trim costs by using radio frequency identification, or RFID. It might save lives and money, by preventing medical mistakes and speeding the recall of defective products.
(Twin Cities Public Television/Next Avenue 5/22/2012)
This is a great time to get off the couch and back in shape -- with the help of a new fitness tracking gadget that interacts with your smartphone.
(Parallelnormal 6/14/2008)
Practically all of the stupid games, quizzes, widgets and apps used by Facebook social networkers scoop-up more personal data than they need, and keep that data longer than they should, without notifying users.
(Wired News 11/17/2004)
Space scientists and entrepreneurs are envisioning much more than tourists taking pictures, and planting flags and footprints, as they plan humanity's off-world future.
They also want to mine the solar system for its abundant natural resources to make space travel self-sustaining, and to generate profits for corporations back on Earth.
(Wired News 7/30/2004)
BOSTON -- The Democratic Party this week promised "to end America's dependence on Mideast oil" through such measures as tax credits for biomass, solar and wind power, and by developing the Alaska natural gas pipeline.
But environmental activists at the Democratic National Convention said the party platform does not go far enough in supporting alternative fuels.
(Boston Globe 11/25/2012)
in a world of smartphones and tablets, a host of mobile apps can make shopping much easier - or less painful - by finding the best prices on popular items, Âlocating a hard-to-find gift at a nearby store, or even suggesting what to get your crotchety old aunt.
(The Boston Globe/Boston.com 7/20/2009)
Either Ari Juels is living an amazing double life or he really does have the imagination to make it as a novelist.
(Parallelnormal 6/25/2007)
Perhaps your real life is so rich you don't have time for another.
Even so, the US Department of Defense (DOD) may already be creating a copy of you in an alternate reality to see how long you can go without food or water, or how you will respond to televised propaganda.
(Glenn Beck's Fusion 6/28/2007)
Days after the Virginia Tech shooting, hi-tech firms boasted that their emergency text systems could help prevent further massacres. But terrorists, too, will be targeting so-called social networking technologies. You can count on it. (Email me for PDF.)